Saltar al contenido

Alaia Odontología

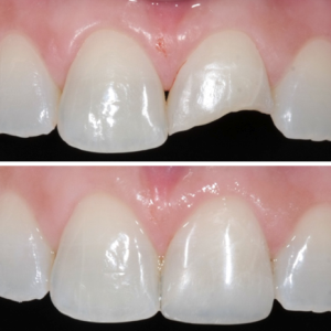
Restauración estética anterior

Restauración estética anterior en dientes delanteros CDMX

Si deseas mejorar tu sonrisa con un tratamiento que combina estética, precisión y profesionalismo, agenda una valoración en Alaia Odontología. Será un gusto ayudarte a recuperar la confianza en tu sonrisa con un resultado que realmente se note y se sienta natural.

¿Qué es la restauración estética anterior?

La restauración estética anterior consiste en reparar o mejorar los dientes frontales utilizando técnicas y materiales de alta estética, logrando que la sonrisa se vea armónica, natural y saludable. Su objetivo no solo es corregir desgastes o daños, sino también mejorar la apariencia general de los dientes visibles al sonreír.

Beneficios de este tratamiento

✔ Mejora inmediata en la apariencia dental
✔ Resultados naturales que se integran al resto de la sonrisa
✔ Corrección de fracturas, manchas o desgastes
✔ Fortalece la estructura dental debilitada
✔ Aumenta la confianza al sonreír y hablar

Agenda tu cita

¿Cuándo se necesita este tratamiento?

Tu salud dental es importante

Si notas cambios o molestias en un diente previamente restaurado, es posible que exista una filtración. Agenda una valoración en Alaia Odontología y permite que un tratamiento preciso y estético devuelva tranquilidad, funcionalidad y salud a tu sonrisa.

Cómo realizamos la restauración estética anterior

1. Evaluación completa

El primer paso es revisar de forma detallada los dientes anteriores para identificar daños, cambios de color, fracturas o alteraciones en la forma. Se analizan aspectos como la mordida, la armonía facial y la tonalidad natural del esmalte para lograr un resultado estético y duradero. Esta valoración permite conocer con exactitud lo que cada caso requiere y dar tranquilidad al paciente explicando cada detalle del proceso.

Agenda tu cita

2. Plan personalizado

A partir del diagnóstico, se elabora un plan hecho específicamente para las necesidades del paciente. Se elige cuidadosamente el tono, la forma y el tipo de material que se usará, ya sea resina estética de alta calidad o alternativas como cerámica en casos más complejos. El objetivo es que el resultado final se vea como dientes naturales y que el paciente tenga claridad del tratamiento antes de comenzar.

Agenda tu cita

3. Procedimiento

El tratamiento se realiza cuidando cada milímetro para obtener precisión estética y funcional. Se prepara el área a tratar, se limpia cualquier daño previo y se moldea la restauración directamente en boca o a través de técnicas asistidas digitalmente, según el caso. Cada capa de material se adapta a la anatomía dental, logrando proporciones equilibradas y una apariencia que armoniza con la sonrisa completa. El proceso es indoloro y se trabaja con enfoque en la comodidad del paciente en todo momento.

Agenda tu cita

4. Recuperación y mantenimiento

Una vez terminada la restauración, se revisa la mordida, se pule el material para obtener un acabado brillante y se dan recomendaciones personalizadas para prolongar la vida del tratamiento. Se sugiere evitar ciertos hábitos, acudir a limpiezas periódicas y mantener una buena higiene para garantizar que la restauración luzca impecable por muchos años.

Agenda tu cita

Resultados que sí se sienten

✔ Sonrisa más estética y armónica
✔ Mayor seguridad al hablar y sonreír
✔ Apariencia completamente natural
✔ Mejora funcional en dientes dañados
✔ Eliminación de manchas, fracturas o desgastes visibles

Agenda tu Cita en Alaia

Con una calificación de 4.9 estrellas en Google Reviews, nuestros pacientes respaldan la calidad de nuestra atención.

Odontología Alaia place picture
4.9
powered by Google
Melissa A. profile pictureMelissa A.
23:39 23 Jan 25
Excelente servicio, fui a pedir informes y el odontólogo me revisó y decidí realizarme el procedimiento en el momento por la confianza que me transmitieron.
Es un lugar seguro y no sufrí dolor alguno, sin duda, el Dr. Isaac será mi especialista de cabecera, súper recomendado, más para las personas que sufren ansiedad y les da miedo el dentista como yo.
Victor R. profile pictureVictor R.
15:22 05 Sep 24
El mejor Odontólogo cirujano y la música súper te relaja.
Recomendado.
Fernando R. profile pictureFernando R.
00:46 20 Jul 22
Mega recomendado, desde el ingreso el personal del lugar es demasiado atento, tienen equipo de la mayor calidad, los dentistas muy cuidadosos y profesionales y en general un hospital odontológico de la mejor calidad y a un precio bastante adecuado en mi opinión para el nivel de calidad del establecimiento 11/10. ¡Quede bastante satisfecho y agradecido con sus servicios!
mariana P. profile picturemariana P.
15:48 15 Jul 22
Excelente atención y servicio. Cuentan con un equipo muy profesional y tecnología de punta, se nota que son expertos en el trabajo que realizan, además de un gran trato al paciente. Sin duda un consultorio altamente recomendable.
CERVANTES NAJERA D. profile pictureCERVANTES NAJERA D.
00:51 14 Jul 22
Excelente trato, profesionales en su trabajo
Arturo A. profile pictureArturo A.
18:59 13 Jul 22
Excelente servicio de odontología, con el mejor equipo de odontólogos y un trato muy profesional y amable, que te hace no tener miedo en ir al dentista, super recomendable ir a Alaia por cualquier problema con los dientes ellos lo van a resolver.
Adrian G. profile pictureAdrian G.
03:14 13 Jul 22
Me atendí con la Dra. Marilú Amante.
Fue muy amable en todo momento y su trabajo fue impecable, sin duda regresaría a la clínica pues además de darme un excelente servicio me ayuda a tener buenas prácticas de prevención para tener una buena salud bucal.
Elvira M. profile pictureElvira M.
03:00 13 Jul 22
Recomiendo a la Dra. Marilu Amante por ser honesta y confiable. Quedé muy satisfecha con los resultados de mí tratamiento.
Alejandro C. profile pictureAlejandro C.
00:58 13 Jul 22
Excelente equipo. Muy moderno.
Las radiografías por ejemplo son con una camarita de baja radiación. Muy recomendable

Da el paso hacia tu nueva sonrisa

Recibe una valoración personalizada con tecnología digital avanzada. Te mostraremos el estado real de tu sonrisa y el plan perfecto para transformarla.

Da el paso hacia tu nueva sonrisa

Nuestra prioridad es ofrecerte una experiencia dental segura, cómoda y precisa. Agenda tu cita y comienza tu tratamiento con especialistas en ortodoncia, estética e implantología.